![]()
![]()

【住所】
〒241-0825
神奈川県横浜市旭区中希望ヶ丘233-8
【TEL・FAX】
045-362-1184
【アクセス】
相鉄線「三ツ境駅」南口より徒歩5分
【診療時間】
午前10:00~13:00
午後14:30~20:00(土曜日は17:00迄)
【休診日】
木曜日・日曜日・祝日
※祝日の入った週の木曜日は17:00迄
診療いたします。
【駐車場】
2台分ございます。
![]()
横浜市旭区、瀬谷区、泉区、戸塚区、保土ヶ谷区、緑区、神奈川県大和市
![]()
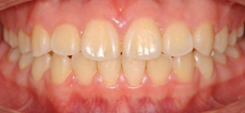
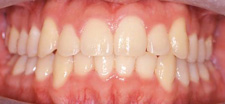
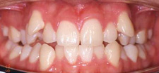
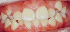
当院の矯正治療は顎機能咬合解析システム(キャディアックス)により顎関節の状態と、 セファロX線写真により顎顔面の骨格の状態とを考慮して、単に歯を並べるだけでなく関節-骨格-筋を含めて調和のとれた歯列矯正治療をしております。
| 治療前 | 治療後 | |
![]() |
![]() |
| 治療前 | 治療後 | |
![]() |
![]() |
初診相談
毎月第4土曜日は無料の矯正相談(要予約)を行っております。
詳しくはお電話にてお尋ねください。![]()
問診や視診をしながら診察します。
![]()
精密検査
数種類の画像診断によって、虫歯や歯周病、歯根の病気の有無はもちろん、頭部・上下顎の骨格のバランスなどを計測・検査します。

![]()
歯の型を取り、頭に対して上下の顎の位置関係と歯が三次元的にどう並んでいるか診査します。

![]()
頭に装置を取り付け、実際の顎の運動をコンピューターで解析します。
この検査により現在の下顎の位置が頭蓋に対してどのような位置関係にあるかを検査します。

![]()
治療開始
精密検査の結果をもとに、不正咬合の診断と治療計画・治療方法ならびに治療期間、矯正料金の説明があります。
![]()
矯正開始
矯正治療は動的治療と静的治療(保定)の2段階に分かれています。