![]()
![]()

【住所】
〒241-0825
神奈川県横浜市旭区中希望ヶ丘233-8
【TEL・FAX】
045-362-1184
【アクセス】
相鉄線「三ツ境駅」南口より徒歩5分
【診療時間】
午前10:00~13:00
午後14:30~20:00(土曜日は17:00迄)
【休診日】
木曜日・日曜日・祝日
※祝日の入った週の木曜日は17:00迄
診療いたします。
【駐車場】
2台分ございます。
![]()
横浜市旭区、瀬谷区、泉区、戸塚区、保土ヶ谷区、緑区、神奈川県大和市

インプラント治療によって、天然の歯とほとんど変わらない感覚で、物を噛んだり、会話を楽しむことができます。

インプラントとは、人工歯根のことです。
歯を失うと、噛みあわせのバランスが悪くなり他の歯や骨に悪い影響を及ぼします。
歯の欠損は進行性のある病変とも言われており、通常は、ブリッジや義歯で無くした歯の代用を計りますが他の歯に負担がかかったり、土台のために隣の歯を削ったりしなければなりませんでした。
インプラントとは失ってしまった天然歯の変わりにチタン製の人工歯根を顎の骨に埋め、その上に人工の歯を装着する治療法です。固定性なので、元々あった歯の様にしっかり噛め第2の永久歯とも言われています。
インプラント本体は、外科手術により顎の骨に埋め込みます。
埋め込まれたインプラントは、約6~12週の治療期間を経て骨としっかり結合します。
バランスが整った時点でインプラントの上部に人工の歯を装着します。
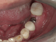
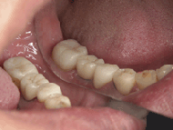
| ■歯が1本抜けている場合 | ![]() |
| ■歯が2~3本抜けている場合 | ![]() |
| ■歯が多数本抜けている場合 | ![]() |
![]() |
![]() |
![]() |
||
| 歯のない所にインプラント本体を埋め込んだところです。 | インプラントに上部構造の人工の歯を装着したところです。 | 3ヶ月経過後、しっかりかめるようになりました。 |