![]()
![]()

【住所】
〒241-0825
神奈川県横浜市旭区中希望ヶ丘233-8
【TEL・FAX】
045-362-1184
【アクセス】
相鉄線「三ツ境駅」南口より徒歩5分
【診療時間】
午前10:00~13:00
午後14:30~20:00(土曜日は17:00迄)
【休診日】
木曜日・日曜日・祝日
※祝日の入った週の木曜日は17:00迄
診療いたします。
【駐車場】
2台分ございます。
![]()
横浜市旭区、瀬谷区、泉区、戸塚区、保土ヶ谷区、緑区、神奈川県大和市
![]()
笑顔からのぞく輝く白い歯、素敵ですよね。
審美歯科にはご自分の歯を、より白くするホワイトニングや、歯を薄く削ってセラミックを貼りつける
ラミネートベニヤなどがあり、皆様のお悩みにお応えします。
大きく分けて2つの方法があります。
一つは患者様自身による <ホームホワイトニング> です。
口の中をクリーニングした後に上下のマウスピースを作り、夜間に薬剤を塗布したマウスピースをつけて頂く方法です。白くするには少し時間がかかりますが、白さを自分で調整できるなどのメリットがあります。
もう一つの方法に <オフィスホワイトニング> があります。
これはほぼ前歯に限られた治療で、通院していただき数回で終了します。
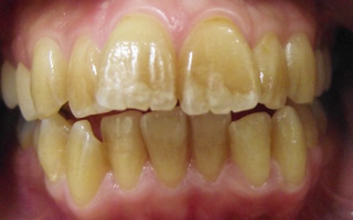
ホームホワイトニング治療前

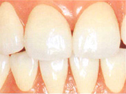
ホームホワイトニング治療後

インレーとは、虫歯を削り取った後の歯に埋める詰め物です。
インレー(詰め物)には従来アマルガムや金属が使用されてきましたが、黒く目立ち、見た目にはよくありませんでした。
セラミックを使用することにより、治療箇所が目立たず、非常に健康的に見えます。
| 治療前 | 治療後 | |
![]() |
![]() |
前歯を薄く削り、付け爪のような薄いセラミックを貼り付けるものです。
セラミックを使用することにより、治療箇所が目立たず、非常に健康的に見えます。
| 治療前 | 治療後 | |
![]() |
![]() |